Ecografie
Cabinet de Ecografie Generala DR. DOINA PURGHEL - medic specialist radiolog cu competente in ecografie generala.




Cabinetul de ecografie generala este dotat cu aparatura performanta si va pune la dispozitie o metoda rapida, neinvaziva, accesibila de diagnosticare paraclinica.
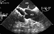
Ecografia (=ultrasonografia) este o metoda de diagnostic de mare utilitate in toate bolile care afecteaza organe in care in mod obisnuit nu se afla aer (exemple: ficat, rinichi, splina, vezica urinara, ovare, prostata, inima etc).
Ecografia este prima alegere in investigarea abdomenului, este indicata in durere abdominala, in maririle de volum ale abdomenului, in prezenta unui sindrom dispeptic, in tulburarile urinare sau menstruale.
Ecografia abdominala de control este recomandabila de cel putin una sau doua ori pe an.
Oferta de servicii:
- ecografie abdominala
- ecografie tiroidiana
- ecografie musculo-scheletala
- ecografie mamara
- ecografie sfera genitala